warning An error has occurred. This application may no longer respond until reloaded. refresh Reload
pdsys.jp
favorite_border 3
Q.歯の白くなった部分を磨いても取れないのは、むし歯ですか? - 新浦安の歯医者・歯科|栗林歯科医院|各専門医在籍
favorite_border 37
ホワイトニングでは根元が白くならない原因とは?歯を白くする方法を紹介 | アンチエイジングデンタルクリニック恵比寿
favorite_border 61
歯茎が白い!?原因は何? | 歯周病治療なら東京都港区の歯医者・泉岳寺駅前歯科クリニック
favorite_border 81
Q.歯の白くなった部分を磨いても取れないのは、むし歯ですか? - 新浦安の歯医者・歯科|栗林歯科医院|各専門医在籍
favorite_border 11
ホワイトニングでは根元が白くならない原因とは?歯を白くする方法を紹介 | アンチエイジングデンタルクリニック恵比寿
favorite_border 37
骨隆起について(歯茎の白い骨)|赤羽の歯医者|赤羽歯科赤羽診療所
favorite_border 25
冷たい物がしみるのを改善したい! | dr-ayakoのブログ
favorite_border 24
歯の根元は虫歯になりやすい - アズ歯科 桶川院
favorite_border 0
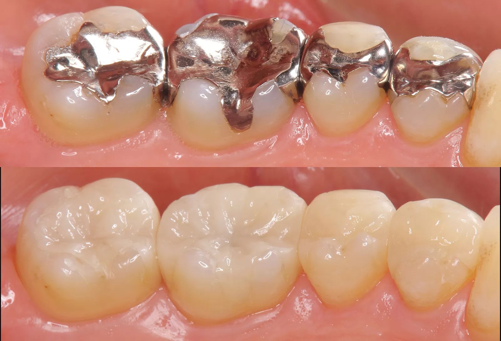
審美歯科ホワイトニング。銀歯をセラミックに。60代男性。 | 自由が丘の歯医者のデンタルアトリエ自由が丘歯科です。審美歯科(セラミック)、虫歯、根管治療
favorite_border 68
歯垢(プラーク)とは|歯石との違いは?歯垢がつきやすい人や簡単な取り方|wakanote
favorite_border 74
むし歯じゃないのに歯のわきに穴が空く?? | 新潟市西区の歯医者、歯科医|松田歯科医院
favorite_border 52
歯茎に膿が溜まる歯根嚢胞とは?症状と治療法について解説 | 東京都港区虎ノ門・吉松歯科医院
favorite_border 30
骨隆起について(歯茎の白い骨)|赤羽の歯医者|赤羽歯科赤羽診療所
favorite_border 85
歯周病治療と審美治療 | 歯周病専門外来 たけのうち歯科クリニック
favorite_border 1
ホワイトニングができない方とは?代替方法も解説
favorite_border 41
新中野駅1分で「安いセラミック治療/銀歯を白く」|新中野歯科クリニック
favorite_border 92
よくある質問(審美治療) | 札幌市中央区大通の歯医者(歯科)|ユアーズデンタルクリニック|自由診療専門歯科
favorite_border 19
根管治療の被せものの費用は?保険適用と適用外それぞれ紹介|初台駅から徒歩1分の歯医者「初台 内藤歯科」
favorite_border 65
初期むし歯を削らずに治す方法】〜衛生士によるナノケア〜|四ツ橋駅直結の歯医者 なかやま歯科